- ÀÌÈÄ¿¡µµ O¡¤XÀÚ ÇüÅ º¸ÀÏ ¶©
- ¹«¸ ¼ºÀåÆÇ Á¶Àý·Î ±³Á¤ °¡´É
- º¸Á¶±â Ä¡·á´Â ½ºÆ®·¹½º ÁÙ¼öµµ
- Æò¼Ò ºÎ¸ðÀÇ ¹Ù¸¥ÀÚ¼¼ ±³À° Çʼö
ÃʵîÇлýÀÎ A(12) ±ºÀº ÀÚ½ÅÀÇ ´Ù¸® ¶§¹®¿¡ ºÎ¸ð¿Í ÇÔ²² º´¿øÀ» ã¾Ò´Ù. ¾ç ¹«¸ÀÇ ¹Ù·Î ¾Æ·¡ÂÊÀÌ ¹Ù±ùÀ¸·Î ÈÖ¾îÁø XÀÚÇü ´Ù¸®À̱⠶§¹®ÀÌ´Ù. ¹Ý¹ÙÁö¸¦ ÀÔÀ¸¸é ´õ ¶Ñ·ÇÇÏ°Ô º¸ÀδÙ. ±×´Â 1~2³â ÀüºÎÅÍ ÀÌ·± ¸ð¾çÀÌ °üÂûµÇ¸é¼ ÄÄÇ÷º½º°¡ »ý°å´Ù. ƯÈ÷ °ÉÀ» ¶§ Çã¹÷Áö ¾ÈÂÊÀÌ ¼·Î ´ê¾Æ¼ ºÒÆíÀ» ´À³¤´Ù. ÀÌó·³ XÀÚ³ª OÀÚÇüÀÇ ÈØ ´Ù¸® ¹®Á¦·Î °íÅëÀ» °Þ´Â ¾ÆÀ̵éÀÌ ÀûÁö ¾Ê´Ù. ºÎ»êÀÇ·á¿ø Á¤Çü¿Ü°ú ¼ÇѾó(Àü¹®ÀÇ) °úÀåÀÇ µµ¿ò¸»·Î ±× ¿øÀΰú Ä¡·á¿¡ ´ëÇØ ¾Ë¾ÆºÃ´Ù.
 |
| ¾î¸°ÀÌÀÇ ´Ù¸® ¸ð¾çÀÌ XÀÚ ¶Ç´Â OÀÚ ÇüÅ¿¡ ´ëÇÑ ±³Á¤Àº º¯È ÃßÀ̸¦ °üÂûÇß´Ù°¡ ¼ºÀåÆÇÀÌ ´ÝÈ÷±â 1~2³â Àü¿¡ ¼ö¼úÀû Ä¡·á¸¦ °í·ÁÇÒ ¼ö ÀÖ´Ù. ºÎ»êÀÇ·á¿ø Á¤Çü¿Ü°ú ¼ÇѾó(Àü¹®ÀÇ) °úÀåÀÌ ¾î¸°ÀÌ È¯ÀÚÀÇ ´Ù¸® »óŸ¦ »ìÆìº¸°í ÀÖ´Ù. |
¾ÆÀ̰¡ ¼ºÀåÇÏ´Â µ¿¾È¿¡´Â ´Ù¸® ¸ð¾çÀÌ °è¼ÓÇØ¼ º¯ÈÇÑ´Ù. Ãâ»ý ÀÌÈĺÎÅÍ ¼ºÀåÆÇÀÌ ´ÝÈ÷´Â û¼Ò³â±â±îÁö, Á¤¸é¿¡¼ ¹Ù¶óº¸´Â ´Ù¸® ¸ð¾çÀÇ ÇüŰ¡ ¼ºÀå°ú ÇÔ²² º¯ÇÏ´Â °ÍÀÌ´Ù. º¸Åë Ãâ»ý Á÷ÈÄ¿¡´Â Àڱà ¾È¿¡ ÀÖ´ø ¸ð¾çó·³ ´ëºÎºÐ ¾ÆÀ̵éÀÇ ´Ù¸®´Â OÀÚ ÇüŸ¦ º¸ÀδÙ. ÀÌ´Â ¸¸ 18°³¿ù±îÁö ¸¶Âù°¡Áö´Ù. ÀÌÈÄ ¡®ÀÏÀÚ¡¯ ÇüÅ·Πº¯Çϰí, ¸¸ 24°³¿ùÀÌ Áö³ª¸é °ð°Ô ÆìÁø´Ù. ±× ÈÄ¿¡´Â XÀÚ·Î ÈÖ¾îÁö°Ô µÈ´Ù. 3~4¼¼±îÁö XÀÚ ¸ð¾çÀÌ Ãִ븦 ÀÌ·é ÈÄ ¡®ÀÏÀÚ¡¯·Î ¼¼È÷ ÆìÁö°í, ÃʵîÇб³ ÀÔÇÐ ¶§°¡ µÇ¸é ¡®ÀÏÀÚ¡¯ ´Ù¸®·Î º¯ÇÏ´Â °ÍÀÌ ÀϹÝÀûÀÌ´Ù. µû¶ó¼ °¢ ½Ã±âÀÇ ÈØ ´Ù¸®´Â ´ëºÎºÐ Á¤»óÀû ¼ºÀå°úÁ¤ÀÎ »ý¸®Àû º¯ÇüÀÌ´Ù.
 |
ÇÏÁö¸¸ ³ªÀÌ¿¡ ¸ÂÁö ¾Ê´Â ¸ð¾çÀ» ³ªÅ¸³»¸é Ä¡·á°¡ ÇÊ¿äÇÏ´Ù. ¿¹¸¦ µé¾î ¸¸ 3¼¼ ÈÄ¿¡µµ OÀÚ ÇüÅÂÀÎ °æ¿ì, ¸¸ 2¼¼ Àü¿¡ XÀÚ¸¦ º¸ÀÌ´Â °æ¿ì, ÃʵîÇб³ ÀÌÈÄ¿¡µµ OÀÚ ¶Ç´Â XÀÚ ´Ù¸®ÀÎ °æ¿ì, ÇÑ ÂÊ ´Ù¸®¸¸ ÈÖ¾îÁø °æ¿ì µîÀÌ ±×°ÍÀÌ´Ù. ½ÉÇÑ OÀÚ, XÀÚÇü ´Ù¸®°¡ ¾Æ´Ï¸é ¾ÆÀÌÀÇ ¼ºÀåÆÇÀÌ ´ÝÈ÷±â Àü±îÁö º¯È¸¦ °üÂûÇØ ¼ºÀåÆÇÀÌ ´ÝÈ÷±â 1~2³â Àü¿¡ ¼ö¼úÀ» °í·ÁÇÒ ¼ö ÀÖ´Ù. À̶§ ¾ÆÀÌÀÇ À߸øµÈ ÀÚ¼¼³ª »ýȰ½À°üÀ» °³¼±ÇÏ´Â °ÍÀÌ Áß¿äÇÏ´Ù. µÎ ´Ù¸®¸¦ °ð°Ô Æì°í ¾É°Å³ª, ÀÇÀÚ¡¤¼ÒÆÄ¿¡ ¹Ù¸¥ ÀÚ¼¼·Î ¾É´Â °ÍÀ» ±³À°ÇÏ°í ½À°üÈÇÏ´Â °ÍÀÌ´Ù.
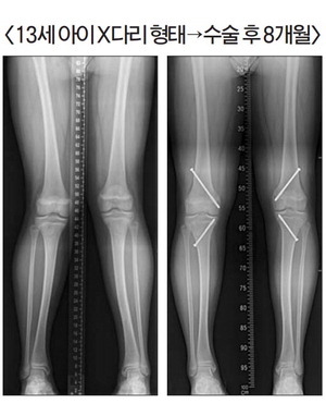
¼ºÀÎÀÇ OÀÚ XÀÚ ´Ù¸® ¼ö¼úÀº Àý°ñ¼úÀ» ½ÃÇàÇÏÁö¸¸, ¾î¸°ÀÌ´Â ¹«¸°üÀýÀ» ÀÌ·ç´Â ´ëÅð°ñ°ú °æ°ñÀÇ ³»¡¤¿ÜÃø ¼ºÀåÆÇ Á¶Àý·Î ±³Á¤ÇÒ ¼ö ÀÖ´Ù. ±×°Í¿¡´Â ¿©·¯ ¹æ¹ýÀÌ Àִµ¥, ÃÖ±Ù¿¡´Â 1cm Á¤µµ ÀÛ°Ô Àý°³ÇÑ µÚ ³ª»ç¸øÀ¸·Î ¼ºÀåÆÇ ÀϺθ¦ ¾ïÁ¦ÇØ °¢±³Á¤À» ÇÑ ´ÙÀ½, °°Àº Àý°³·Î ³ª»ç¸øÀ» Á¦°ÅÇÏ´Â ¹æ½ÄÀÌ ¸¹ÀÌ ÀÌ·ïÁø´Ù. ÀÌ´Â ¼ö¼ú ÈÄ ¹Ù·Î ÀÏ»ó »ýȰÀÌ °¡´ÉÇϸç, ´ëü·Î 1³â ³» ±³Á¤ÀÌ ³¡³´Ù. ´Ù¸¸, ³ª»ç¸øÀ» Á¦°ÅÇÑ ÈÄ ³²Àº ¼ºÀåÆÇÀÇ ¿µÇâÀ¸·Î ÀÎÇØ º¯ÇüÀÌ Àç¹ßµÉ ¼ö ÀÖ´Ù. µû¶ó¼ ¼ºÀåÀÌ ¸¶¹«¸®µÆÀ» ¶§ ³ª»ç¸øÀ» Á¦°ÅÇÒ ¼ö ÀÖµµ·Ï ÀûÀýÇÑ ³ªÀÌ¿¡ ¼ö¼úÀ» ÇØ¾ß ÇÑ´Ù. º¸Åë ¼ºÀåÆÇÀÌ 1~2³â ³²¾ÒÀ» ¶§°¡ ÁÁ´Ù. ³²ÀÚ ¾ÆÀÌ´Â ÁßÇб³ 1Çгâ, ¿©ÀÚ ¾ÆÀÌ´Â Ãʰæ Á÷Èĸ¦ ±× ½Ã±â·Î º¼ ¼ö ÀÖ´Ù.
³ª»ç¸øÀ» ÀÌ¿ëÇÑ ÀϽÃÀû ¼ºÀå ¾ïÁ¦¼úÀº ¼ºÀå°ú ÇÔ²² ±³Á¤µÇ´Â ¿ø¸®¿©¼ ¹Ýµå½Ã ¼ºÀåÆÇÀÌ ³²¾Æ ÀÖ´Â »óÅ¿¡¼ ½ÃÇàµÅ¾ß ÇÑ´Ù. ¿¹»óÄ¡ ¾Ê°Ô ۰¡ ´õµð°Ô ÀÚ¶ó¸é ±³Á¤¼Óµµ°¡ ´Ê¾îÁö°í, ±³Á¤ ¿Ï·á Àü¿¡ ¼ºÀåÀÌ ¸ØÃß¸é ±³Á¤ÀÌ ºÎÁ·ÇÑ »óÅ·Π¡®°¢º¯Çü¡¯ÀÌ ³²°Ô µÈ´Ù. ¶ÇÇÑ °¢±³Á¤ÀÌ ¿Ï·áµÈ µÚ ³ª»ç¸øÀ» Á¦°ÅÇÏ¸é ¼ºÀåÇÏ¸é¼ ´Ù½Ã ¿ø·¡ ¸ð¾çÀ¸·Î µ¹¾Æ°¡·Á´Â ¡®µÇµ¹ÀÌ Çö»ó¡¯ÀÌ ³ªÅ¸³¯ ¼ö ÀÖ´Ù. µû¶ó¼ ´ëºÎºÐÀº °¢±³Á¤À» ¾à°£ °ú±³Á¤ÇÑ µÚ Á¦°ÅÇϴµ¥, °ú±³Á¤ »óÅ¿¡¼ ¼ºÀåÀÌ ³¡³ª´Â °æ¿ìµµ »ý±æ ¼ö ÀÖ´Ù´Â °ÍÀÌ´Ù.
ºÎ»êÀÇ·á¿ø ¼ÇѾó °úÀåÀº ¡°º¸Á¶±â±â¸¦ ÅëÇØ OÀÚ XÀÚÇü ´Ù¸®°¡ ÁÁ¾ÆÁö±â´Â ¾î·Æ´Ù. º¸Á¶±â¸¦ ÀÌ¿ëÇÏ¸é °ÑÀ¸·Î ±³Á¤µÇ´Â °Íó·³ º¸ÀÌÁö¸¸, ½ÇÁ¦ ´ëÅð°ñ°ú °æ°ñÀÇ ÃàÀº °ÅÀÇ º¯ÇÏÁö ¾Ê´Â´Ù. ƯÈ÷ Çзɱ⠾ÆÀÌ¿¡°Ô º¸Á¶±â Ä¡·á´Â ¿ÀÈ÷·Á ½ºÆ®·¹½º ¿äÀÎÀÌ µÉ °¡´É¼ºÀÌ ³ô´Ù. Á¤±âÀûÀÎ °üÂû ÈÄ Ä¡·á°¡ ÇÊ¿äÇÑ »óŶó¸é ¼ºÀåÆÇÀÌ ´ÝÈ÷±â 1~2³â Àü¿¡ ¼ö¼úÀû Ä¡·á¸¦ ÇÏ´Â °ÍÀÌ ¹Ù¶÷Á÷ÇÏ´Ù¡±°í ¸»Çß´Ù.